CHIRURGIE DU DOS GENEVE

Tel: +41 22 347 67 40
Fax: +41 22 347 67 42

LE CANAL LOMBAIRE ETROIT

Le canal lombaire étroit est du au rétrécissement du canal rachidien à l'intérieur duquel passe les nerfs innervant les jambes. Ce rétrécissement du canal est du principalement à l'arthrose. Les nerfs de la "queue de cheval" deviennent de plus en plus serré au cours des années ce qui provoque des sensation d'inconfort dans les jambes. Le canal lombaire peut être rétréci à un ou plusieurs niveaux.

Symptômes

La symptômatologie classique du canal lombaire étroit est "la claudication neurogène", c'est-à-dire des douleurs ous sensation de faiblaisse et de fourmillement dans les jambes se décelenchant esstentiellement à la marche. Ces symtômes peuvent se péjorer progressivement au cours des années, jusuq'à parfois l'impossibilité de pouvoir marcher plus de quelques minutes.

Investigations

L'investigation principale est l'IRM lombaire ce qui permet au mieux d'apprécier le ou les niveaux responçable de la symptômatologie.

TRAITEMENT

Losque le traitement conservateur à échoué, et que la marche devient de plus en plus difficile il est alors raisonnable de proposer une opération pour ouvrir le canal lombaire à un ou plusieurs niveaux pour libérer les nerfs.

Il y a 2 techniques chirurgicales principales pour le canal lombaire étroit:

1) soit une laminectomie ce qui permet de décomprimer largement le fourreau dural

2) soit une décpompression sélective à un plusieurs niveaux, ce qui permet de préserver mieux les strututres osseuses

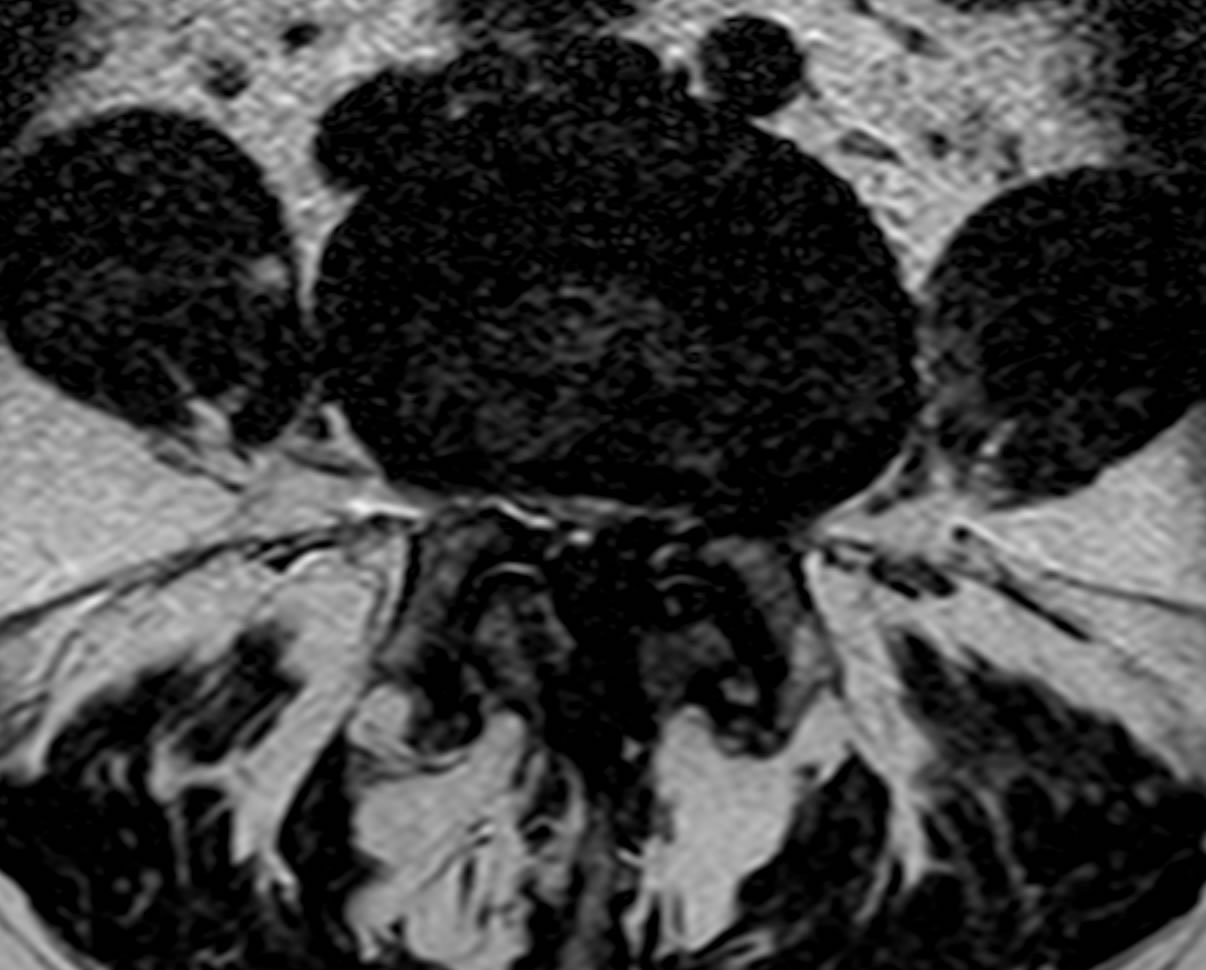
La séquence ci-dessous montre une l'image IRM d'un canal très étroit au niveau L4-L5, on voit qu'il se rétréci très fortement ne laissant quasiement pas de place pour les nerfs de la queue de cheval
*toute information médicale contenue sur cette page web ne remplace pas une consultation médicale