Chirurgie du dos, Neurochirurgie Genève

Tel: +41 22 347 67 40
Fax: +41 22 347 67 42

NEUROCHIRURGIE ADULTE

La neurochirurgie adulte prend en charge les pathologies chirurgicales cérébrales et de la colonne. Les pathologies cérébrales incluent les tumeurs cérébrales, les problèmes liés à l’hydrocéphalie, les pathologies vasculaires, les problèmes de l'épilepsie pour lesquels il est possible de trouver un "foyer épileptique" pouvant être réséqué chirurgicalement ainsi que les traumatismes cranio-cérébraux et les traumatismes de la colonne.

Les pathologies du rachis font l’objet sur ce site d’une page web séparée, cliquez ici….

Nous exposons ici un très bref résumé des différentes pathologies cérébrales adultes et les types d’interventions neurochirurgicales associées.

Tumeurs cérébrales 

Il y a plusieurs types de tumeurs cérébrales. On différencie les tumeurs cérébrales primaires du cerveau ou intra-axiale (ex : gliomes) qui prennent origine des cellules primitives du cerveau et les tumeurs extra-axiales (ex : méningiome, neurinome) dont l’origine provient de cellules à l’extérieur du parenchyme cérébral (méninges, nerfs crâniens).

Gliomes

Les gliomes sont des tumeurs cérébrales primaires, catégorisés entre bas grade ou haut grade qui peuvent se situer dans différentes localisations du parenchyme cérébral.
Les symptômes cliniques sont déterminés par la localisation de la tumeur (zone du language, zone motrice ou sensitive) ou par la taille exerçant une compression des structures cérébrales avoisinante et des signes d’hypertension intracrânienne (maux de tête, nausée, vomissements, somnolence).

En général une tumeur cérébrale primaire peut être réséquée chirurgicalement si elle n’est pas dans une localisation trop profonde du cerveau ou dans une région "sensible" fonctionnelle du cerveau.

 

Méningiomes

Le méningiome est une tumeur cérébrale extra-axiale qui est en règle générale bénigne et prend son origine des cellules des enveloppes du cerveau (méninges). Le méningiome a une croissance annuel lente et occasionne progressivement une distorsion des structures cérébrales avoisinnantes.

Les symptômes cliniques liés à la présence et/ou progression d’un méningiome sont déterminé par la proximité de zones cérébrales éloquentes ou des signes de distorsion cérébrale trop importante engendrant des signes d’hypertension intracrânienne.

En général les méningiomes peuvent être réséqués chirurgicalement.

Types d’intervention pour tumeurs :

 

* toute information médicale contenue sur cette page n'est pas exhaustive et ne remplace pas une consultation par un médecin
** toute chirurgie crânienne se pratique dans les établissements romands appropriés en tenant en compte la complexité de la chirurgie

représentation 3D du cortex cérébral
représentation 3D cortex cérébral
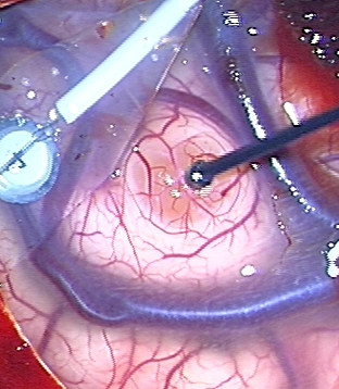
résection lésion dans le cortex moteur avec stimulation cortex moteur per-opératoire